Alineación dental
Los métodos modernos de alineación dental permiten corregir rápidamente y sin dolor patologías complejas de la mordida, y eliminar espacios dentales en niños y adultos. En la clínica dental ID Dent, los médicos utilizan técnicas de tratamiento ortodóntico que no solo abren la sonrisa, sino que también ofrecen precios atractivos. Si estás pensando en cómo alinear tus dientes, ¡te esperamos!
| Duración del tratamiento | de 1 a 2 años | 
| Frecuencia de visitas | cada 2.5-6 semanas | 
| Edad para brackets | a partir de 14 años | 
| Edad para placas | a partir de 5.5 años | 
| Métodos disponibles | brackets, férulas, placas | 
| Complejidad del cuidado | no complicado para alineadores | 

Incluso un solo diente torcido puede causar inseguridad en una persona. Muchos pacientes piensan que la alineación dental en adultos es un proceso complicado, prolongado o incluso imposible. La clínica dental ID Dent (en el área de... Lee mas
 Antes
 Antes Después
 Después
La sonrisa es una parte integral y muy importante de la vida moderna. En gran medida, determina el buen ánimo, refleja el éxito y es clave para la confianza en uno mismo. Nos permite no solo expresar nuestras emociones, sino también ganar la simpatía de los demás.
Plushch M. V., Malynovskyi V. A. Sistema de brackets // Apuntes científicos de la Universidad Humanitaria Internacional: [colección]. Odesa: Casa editorial “Helvetica”. – 2018. – T. 29. – P. 60-63.
¿Te avergüenzas de sonreír debido a una mordida incorrecta? Los dentistas de la clínica ID Dent saben cómo ayudarte. La corrección de dientes torcidos utilizando técnicas modernas te garantiza una sonrisa perfecta. Además, eliminará las dificultades al comer y mantener la higiene bucal que son provocadas por las irregularidades dentales. Nuestros ortodoncistas saben cómo actuar en casos complejos. ¡De manera efectiva, profesional y sin dolor!
Causas y consecuencias de los dientes desalineados
Una mordida incorrecta no es solo una cuestión de estética. La mala alineación de los dientes puede aumentar la predisposición a la aparición de caries y al desarrollo de enfermedades inflamatorias de la cavidad oral. Una mordida incorrecta surge por varias razones, como predisposición genética, traumatismos y enfermedades sufridas. Los dientes desalineados causan incomodidad física y psicológica, por lo que no se debe posponer la solución a este problema. La odontología moderna no impone límites de edad para el paciente y está lista para ayudar a todos.
Las irregularidades en la dentadura se pueden corregir a cualquier edad. Cada caso se considera individualmente por los dentistas de nuestra clínica. Encontramos las opciones de tratamiento óptimas para que cada paciente pueda disfrutar de una sonrisa hermosa y, lo más importante, saludable.
Vladímir Rafaelovich Broyev, director médico de ID Dent
Indicaciones para la alineación dental
Las patologías de la mordida se observan en aproximadamente el 80% de la población adulta del planeta.
La alineación dental es recomendable para aquellos que presentan los siguientes síntomas:

- anomalías de la mordida;
- espacios entre los dientes;
- problemas al comer;
- chasquidos en la articulación;
- defectos en el habla;
- apiñamiento o espaciado de los dientes.
- posición incorrecta de los dientes – uno o varios;
La odontología moderna identifica varias alteraciones de la mordida: protrusión de la mandíbula superior o inferior, apiñamiento de los dientes, rotación dental.
Métodos para alinear los dientes
La alineación dental en odontología se realiza de varias maneras. La metodología óptima se puede elegir en función de la edad del paciente, el cuadro clínico individual e incluso el presupuesto que una persona en particular puede gastar en corregir una mordida problemática. A continuación, examinaremos más detalladamente las opciones de alineación dental.
- Brackets
- Férulas personalizadas
- Placas y alineadores
- Carillas
- Intervención quirúrgica (para casos complejos)
| Brackets | Alineadores | Placas | |
| Edad | a partir de 14 años | a partir de 14 años | a partir de 5,5 años | 
| Visibilidad | +- | – | + | 
| Duración del tratamiento | desde 1 año | desde 6 meses | desde 6 meses | 
| Visitas | 1 vez cada 4-6 semanas | 1 vez cada 2,5 meses | 1 vez cada 4 semanas | 
| Retiro autónomo | – | + | + | 
| Complejidad del cuidado | +- | + | +- | 
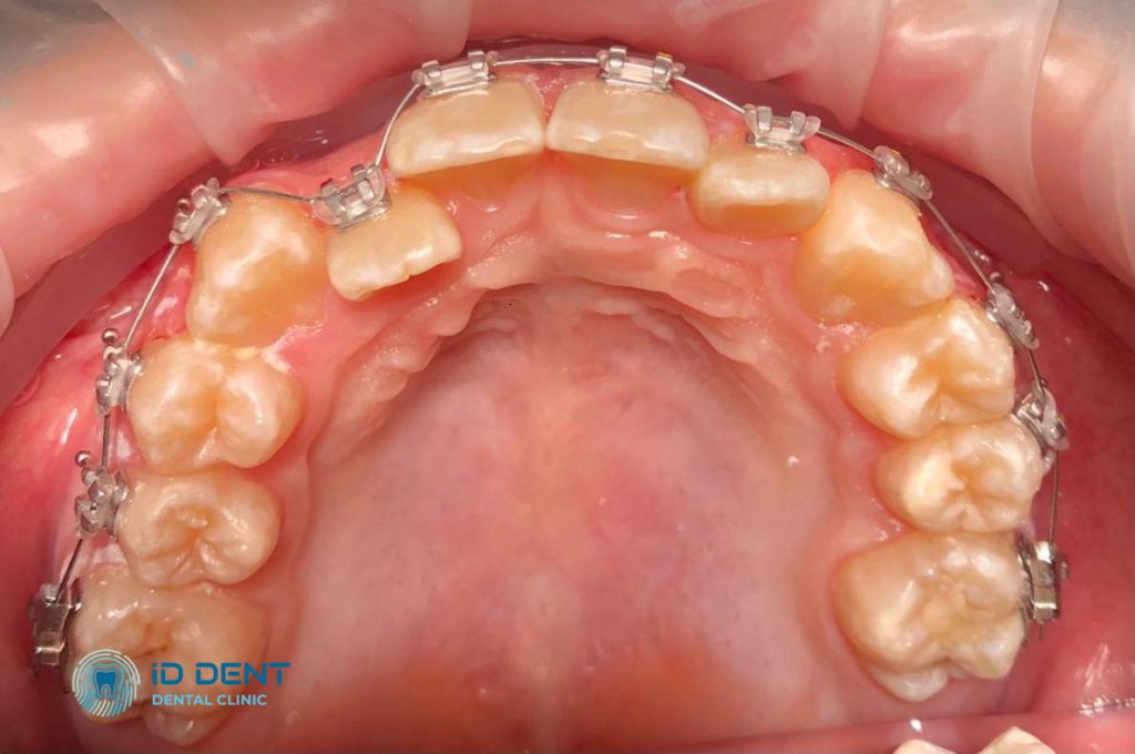
Sistemas de brackets
Los brackets son construcciones ortodónticas fijas para alinear la mordida en niños y adultos. Consisten en fijaciones especiales que se sujetan a cada diente. Los sistemas también están equipados con un arco especial que ayuda a mantener los dientes en la posición adecuada, facilitando así la corrección de la mordida. Los brackets se fabrican con cerámica, metal y otros materiales. Los brackets metálicos son bastante económicos, pero los de cerámica son prácticamente invisibles en los dientes y no dañan el esmalte. La alineación de la mordida con este método lleva en promedio de 1,5 a 2 años.
        
    
Férulas para alinear los dientes
Las férulas para alinear los dientes son estructuras removibles y transparentes que ayudan a alinear la dentadura. Se fabrican según los parámetros individuales del paciente y se colocan en la mandíbula superior e inferior. Las férulas se utilizan para correcciones de mordida no complicadas: cuando no hay indicaciones para la instalación de sistemas de brackets. Deben llevarse hasta 22 horas al día, quitándolas solo durante las comidas y para la higiene bucal. También existen férulas diseñadas para usarse mientras se duerme, llamadas “férulas nocturnas”. Las férulas más populares son las “Invisalign”, que se fabrican en Estados Unidos a partir de un molde personalizado de la mandíbula.
      
   
Placas para alinear los dientes
Las placas para alinear los dientes son un método utilizado principalmente para niños y adolescentes. La estructura consiste en una placa que se fija al paladar del paciente y un arco metálico. El arco ejerce una presión continua sobre la placa, ayudando así a mover los dientes a la posición deseada. Las placas son removibles y el resultado de la corrección de la mordida depende de la regularidad con la que se utilicen. Siguiendo las recomendaciones del médico, las placas pueden corregir defectos comunes de la mordida, como el desplazamiento de dientes, espacios entre los dientes y otros.
      
   
Carillas
Las carillas son láminas ultrafinas que se adhieren a la superficie del diente. Cumplen una función estética, ayudando a disimular pequeñas irregularidades en la dentadura, espacios entre los dientes y a mejorar el tono del esmalte. Además, las carillas ofrecen una función protectora, resguardando el esmalte dental de futuros daños. Con las carillas, es posible obtener la sonrisa de tus sueños en un tiempo relativamente corto.
    
    
Alineación dental quirúrgica
Se utiliza en casos especialmente complejos, cuando los brackets, carillas o férulas no pueden garantizar el resultado adecuado. Esta técnica ayuda a corregir alteraciones como el tamaño incorrecto de la mandíbula, enfermedades de los ligamentos y de la articulación temporomandibular. A menudo requiere la eliminación de parte del tejido óseo y la colocación de implantes. La operación de alineación dental la realiza un dentista-cirujano cualificado. El paciente es sometido a anestesia general.
¿Cuánto tiempo tarda la alineación dental?
La duración de la corrección de la mordida depende del método elegido e incluso de las características individuales del cliente (estado de los dientes, edad y otros factores). En promedio, la alineación dental con sistemas de brackets en adultos lleva al menos 1.5 años. Se necesitará el mismo tiempo para la alineación con férulas personalizadas. Pero si todos los procedimientos se realizan bajo la supervisión de un dentista profesional, el resultado superará tus expectativas.

¿Hasta qué edad se puede corregir la mordida?
La edad no es una contraindicación para corregir las irregularidades de la dentadura. Se pueden colocar brackets a los 30, 40 e incluso 50 años. La odontología moderna ha avanzado significativamente, lo que permite obtener la sonrisa de tus sueños a cualquier edad. Sin embargo, es importante entender que es mejor abordar los problemas de mordida durante la infancia, cuando el aparato maxilar está en formación y es más susceptible a cambios. El tratamiento a esta edad será más rápido y fácil.
Los ortodoncistas de nuestra clínica te ayudarán a elegir el método óptimo para corregir la mordida a cualquier edad. Siempre realizamos un diagnóstico previo exhaustivo, buscamos los mejores métodos para corregir las irregularidades de la dentadura y monitoreamos constantemente la efectividad del tratamiento en visitas preventivas regulares. Sabemos cómo trabajar con pacientes de todas las edades, desde niños en edad preescolar hasta personas mayores. ¡Y el uso de sistemas modernos de corrección de mordida, certificados en Ucrania, hace que tu tratamiento sea aún más efectivo!
Lista de literatura utilizada:
- Persin L.S. et al. Ortodoncia. Diagnóstico y tratamiento de anomalías y deformaciones dentomaxilofaciales: manual / – Moscú: Geotar-Media, 2015.
- Flys P., Leonenko G., Filonenko V., Ortodoncia. Anomalías y deformaciones dentomaxilares. – Medicina, 2015 – 176 p.
- Ackerman M.B. Tratamiento ortodóncico. Teoría y práctica: Manual de estudio: trad. del inglés / M.B. Ackerman. – Moscú: MEDpress-inform, 2010. – 153 p.
- Khoroshilkina F.Ya. Ortodoncia. Defectos dentales, maloclusiones, anomalías de la mordida, trastornos morfo-funcionales en la región maxilofacial y su tratamiento integral: manual / F.Ya. Khoroshilkina. – Moscú: LLC “Agencia de Información Médica”, 2006. – 544 p.
Preguntas frecuentes
¿Por qué alinear los dientes?
Alinear los dientes no es solo un procedimiento estético (aunque no se debe subestimar la importancia de una buena sonrisa). Una mordida incorrecta y la desviación del alineamiento dental pueden llevar a que no mastiquemos bien los alimentos (afectando la digestión), y también pueden provocar el desgaste del esmalte dental e incluso la pérdida de dientes.
¿Qué se necesita para alinear los dientes?
Lo principal es el deseo y la disciplina. El dentista propondrá la opción óptima para el caso específico, ya sea con el uso de brackets o sin ellos. Existen muchas herramientas y métodos para alinear los dientes.
¿Cómo se pueden alinear los dientes sin brackets?
Una alternativa a los brackets pueden ser las carillas, los alineadores (férulas de silicona transparentes) o los entrenadores. Cada caso se evalúa individualmente después del diagnóstico.
¿Cuánto cuesta alinear los dientes en Kiev?
Todo depende del método elegido para corregir la mordida. Por ejemplo, los brackets metálicos para una mandíbula cuestan 8580 UAH, mientras que las férulas de sueño cuestan 3770 UAH. Para un cálculo detallado del costo, te esperamos en la consulta.
¿Cuáles son los métodos para alinear los dientes?
Los métodos principales para alinear los dientes son los sistemas de brackets, alineadores, carillas, placas, entrenadores y el alineamiento quirúrgico. Cada método tiene una eficacia probada y ayuda a solucionar problemas de mordida. Los dentistas de nuestra clínica ID Dent estarán encantados de aconsejarte sobre qué opción de alineación es la mejor para ti.






