Tratamiento de la periodontosis
La salud de tus dientes es el resultado de un estilo de vida adecuado y visitas oportunas al dentista. Ven a nuestra clínica dental ID Dent, donde nuestros médicos diagnosticarán correctamente el problema, te prescribirán un tratamiento eficaz para la periodontosis y garantizarán la salud de tu cavidad oral. ¡Utilizamos equipamiento profesional y ofrecemos precios óptimos!
| Resultado del tratamiento | detención de la periodontosis |
| Período de tratamiento | de 10 días a varios meses |
| Eficacia de la terapia | recuperación hasta el 40% de los tejidos |
| Acción ante síntomas | acudir al dentista |
| Métodos de tratamiento | férulas, terapia conservadora |
| Prevención | higiene adecuada y regular |

La periodontosis es una inflamación grave de los tejidos que surge como resultado de una disminución del riego sanguíneo y de una mala nutrición de las encías. La enfermedad puede identificarse de inmediato por la flojedad de... Lee mas
La periodontosis es una inflamación grave de los tejidos que surge como resultado de una disminución del riego sanguíneo y de una mala nutrición de las encías. La enfermedad puede identificarse de inmediato por la flojedad de la estructura de los tejidos y el desplazamiento del diente de su alvéolo. En las encías se forma un espacio donde se acumulan bacterias que destruyen tanto las encías como los dientes.
Si notas que las encías se han vuelto rojas e hinchadas, que sangran y se inflaman al cepillarte los dientes, debes acudir al dentista de inmediato. En la clínica ID Dent, en el barrio Lisovyi de Kiev, te esperan profesionales experimentados dispuestos a ofrecerte ayuda al más alto nivel.
El tratamiento de la periodontosis en nuestra clínica dental incluye medidas como consulta inicial y el refuerzo de la arcada dental con férulas. Se emplean métodos conservadores de terapia, intervenciones quirúrgicas (cirugía de colgajo). El precio del tratamiento de la periodontosis se determina según el grado de daño a los tejidos. Es importante recordar: cuanto antes inicies el tratamiento, más exitoso y menos costoso será el proceso.




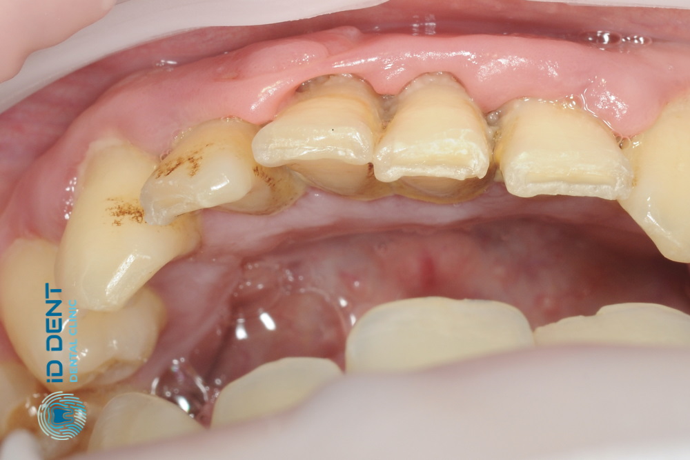
La periodontosis es una enfermedad dental de carácter primariamente distrófico. Se caracteriza por la exposición del cuello dental, una mayor sensibilidad de los dientes a estímulos fríos y calientes, y por cambios distróficos y degenerativos en el periodonto: se produce una “disolución” de los tejidos que rodean el diente.
Emelina O. S. et al. Principios del tratamiento de la periodontosis // Tendencias modernas en el desarrollo de la ciencia y la tecnología. – 2016. – Nº 11-5. – p. 31.
La periodontosis es una inflamación de los tejidos que rodean el diente: las encías y el hueso subyacente. En la etapa inicial (gingivitis), las encías se enrojecen, se hinchan y pueden sangrar. En la forma avanzada (periodontitis), las encías se separan de los dientes y forman las llamadas “bolsas” que se encuentran entre los dientes y las encías. A medida que progresa la enfermedad, se destruye una cantidad cada vez mayor de hueso y de fibras periodontales. La periodontosis requiere tratamiento inmediato, ya que en la forma avanzada los dientes se vuelven móviles y hay que extraerlos, porque de lo contrario simplemente se caerán.
Tratamiento de la periodontosis
Los síntomas de la periodontosis pueden incluir:
- encías rojas e inflamadas;
- acumulación de sarro en la base del diente;
- sensibilidad dental a estímulos externos, térmicos y químicos;
- sangrado al cepillar los dientes;
- mal aliento;
- las encías se retraen de los dientes, haciendo que estos parezcan más largos;
- movilidad dental;
- pérdida de dientes;
- infecciones en las encías.
Independientemente de si es periodontosis u otra cosa, nuestra recomendación es acudir al dentista ante los primeros signos de que algo no va bien (como sangrado de encías durante el cepillado, inflamación de las encías). Es mucho más fácil tratar la periodontosis y otras enfermedades en sus etapas iniciales. Cuanto antes actúes, más posibilidades tendrás de salvar tus dientes.
En ID Dent cuentas con médicos cualificados para realizar consultas especializadas, tratamiento integral, monitoreo y control periódico, para prevenir eficazmente esta enfermedad, así como tratar la periodontosis ya diagnosticada.
En nuestra clínica utilizamos tecnologías odontológicas modernas, que permiten detener la progresión de las enfermedades de las encías. Uno de los métodos que ofrece la clínica ID Dent es el tratamiento de la periodontosis con láser (los precios de todos los servicios están indicados en el bloque especial). El uso del láser es uno de los métodos más populares para tratar la periodontosis, ya que es mínimamente invasivo y proporciona una mejora rápida, además de ser más efectivo y duradero.
Causas de la periodontosis
Existen muchos factores que provocan la aparición de la periodontosis, pero la causa principal sigue siendo la placa bacteriana. Esta se forma constantemente en los dientes y solo puede controlarse con una correcta higiene bucal: cepillarse los dientes al menos dos veces al día, utilizar enjuague bucal e hilo dental, y acudir regularmente al dentista para evaluar el estado de tus dientes. Si no se elimina la placa diariamente, se endurece y se deposita bajo las encías, convirtiéndose en sarro, que solo puede eliminar el dentista.
Además de la mala higiene, también influyen factores como el tabaquismo, la dieta, algunos trastornos hormonales o problemas psicológicos, así como la genética.
Si deseas conocer los precios y cómo es el tratamiento de la periodontosis, llama al número de contacto indicado o rellena el formulario en la web.
Preguntas frecuentes
¿Se puede tratar la periodontosis en casa?
¡No, esto está absolutamente prohibido! La automedicación y los remedios caseros solo pueden empeorar la situación, provocando una etapa grave de periodontosis con exposición de la raíz dental.
¿Se puede curar la periodontosis para siempre?
No, solo la gingivitis puede curarse al 100%. La periodontosis solo puede detenerse e incluso recuperarse un 30-40% de los tejidos dañados con una terapia exitosa. Por lo tanto, es necesario comenzar el tratamiento lo antes posible, antes de que las consecuencias de la periodontosis se vuelvan irreversibles.
¿Cuánto dura el tratamiento de la periodontosis?
La duración del tratamiento depende del grado de avance de la enfermedad, las características individuales del organismo y el sistema inmunológico. Pero en cualquier caso, no es un proceso rápido: puede durar desde 10 días hasta varios meses.




