Prótesis de Puente
El puente dental es un tipo de prótesis fiable y probado, cómodo y confortable de llevar. ¿Está eligiendo una clínica dental para su tratamiento de puentes? Visite la clínica dental ID Dent, ¡tenemos precios competitivos! Y un puente dental de calidad, instalado por nuestros dentistas, le servirá durante más de 10 años.
| Vida útil | más de 10 años |
| Período de adaptación | 3-7 días |
| Cantidad máxima de coronas | hasta 5 coronas |
| Contraindicaciones | periodontosis, etc. |

En caso de prótesis parcial, si se han perdido dos o tres dientes seguidos, se utiliza el método de colocación de un puente dental. La finalidad de este tipo de prótesis es llenar el “espacio” en el... Lee mas
En caso de prótesis parcial, si se han perdido dos o tres dientes seguidos, se utiliza el método de colocación de un puente dental. La finalidad de este tipo de prótesis es llenar el “espacio” en el arco dental, fijándose a los dientes de soporte. La ventaja de los puentes dentales es que restauran las funciones lingüísticas, estéticas y masticatorias. Otro gran beneficio es el corto período de adaptación, de solo 3-7 días.
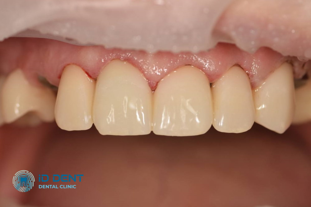
La estructura de puente, instalada por los dentistas en la clínica dental ID Dent en Lisovyi masiv, Kiev, permite prevenir el desgaste y la alteración de la mordida, y en caso de prótesis de la zona de la sonrisa, restaurar la estética. Los puentes dentales pueden ser de metal-cerámica, porcelana, plástico o combinados. Estos puentes son óptimos para la pérdida de 2-3 dientes consecutivos.
El precio de un puente dental fijo depende del número de unidades colocadas y del material de la estructura. Visítenos para una consulta, el médico evaluará y le recomendará la opción más adecuada para usted y le proporcionará el costo del servicio.
Antes
Después
Los puentes dentales se consideran un tipo de prótesis fija cuyo objetivo es rellenar el “hueco dental” en la arcada. Se fijan sobre los dientes pilares, que se encuentran a ambos lados de los dientes ausentes, o sobre implantes colocados especialmente. Un puente dental fijado de manera permanente no solo tiene una función estética, sino que también garantiza la distribución fisiológica de las fuerzas masticatorias.
¿Qué son los puentes dentales?
Un puente dental es una estructura ortopédica fija compuesta por varios dientes artificiales alineados. El puente incluye coronas que se fijan sobre los dientes pilares y un “tramo” que reemplaza los dientes ausentes.
La reposición de dientes ausentes mediante puentes es posible si el paciente dispone de dientes adyacentes. Los puentes dentales permiten restaurar:
- la belleza estética
- el color
- la simetría de los arcos dentales
- la función masticatoria
¡Importante! Este tipo de prótesis se planifica de manera individual para cada paciente, según la situación bucal específica.
Para fabricar un puente dental, es necesario tallar los dientes pilares donde se fijará la estructura. El procedimiento es indoloro y se realiza con anestesia local. Los dientes propios del paciente actúan como soporte. Entre ellos se crea un diente artificial que rellena el espacio, ofreciendo un resultado natural y atractivo.
Tipos de puentes dentales
Según el material de fabricación, los puentes se dividen en:
metal-cerámicos;
de porcelana;
de resina;
combinados.
Puentes dentales sin tallado de dientes
Como se ha mencionado, normalmente es necesario tallar los dientes pilares para colocar el puente. Sin embargo, si no hay dientes pilares (sobre todo en la zona anterior), se puede utilizar un puente adhesivo. Este sistema permite un resultado estético excelente sin necesidad de preparar los dientes vecinos. El método consiste en restaurar el diente ausente utilizando un material compuesto de nueva generación, que se fija a la superficie lingual (interna) de los dientes vecinos mediante una fibra de vidrio resistente.
Puentes dentales sobre implantes
Los puentes dentales sobre implantes se usan para reponer varios dientes ausentes seguidos (tres o más). Para instalar estos puentes en la clínica ID Dent, se requieren al menos dos implantes, que simulan la raíz dental y se colocan en el maxilar o la mandíbula. Estos implantes actúan como soporte del puente. Gracias a ellos, se puede restaurar cualquier cantidad de dientes perdidos.
¡Importante! La colocación de un puente sobre implantes requiere una consulta previa con el especialista, quien determinará el diagnóstico y planificará el tratamiento implantológico. El puente podrá fabricarse aproximadamente tres meses después de que el implante se haya integrado con el hueso y esté bien fijado a la encía.
Contraindicaciones de los puentes dentales
Las estructuras de puente se colocan en ausencia de 1 a 4 dientes consecutivos. Generalmente, están indicados para personas a las que no se recomienda la implantación.
Contraindicaciones para la colocación de puentes dentales:
- casos severos de periodontitis y enfermedad periodontal;
- defectos graves en los dientes pilares;
- bruxismo;
- oclusión incorrecta y alineación dental irregular;
- presencia de enfermedades agudas en la cavidad bucal.
Puentes dentales – precio en la clínica ID Dent en Kiev
El coste de un puente dental depende del material utilizado, la complejidad de la estructura y la situación bucal. Puede consultar el precio preliminar en nuestra lista de tarifas, pero el valor definitivo solo podrá determinarse tras la consulta y el examen clínico.
¿Desea pedir cita? Llame al número de contacto indicado o rellene el formulario en nuestra web.
Preguntas frecuentes
¿Se puede colocar un puente dental en un diente?
Sí, este "puente" puede colocarse para un solo diente, pero con la condición de que los dientes adyacentes se conserven y su estado permita que sirvan de soporte para la prótesis. Hay una limitación en la cantidad máxima de coronas: muchos dentistas consideran que un puente no debe colocarse en más de 5 coronas.
¿Cómo se fija un puente dental?
En el método tradicional de colocación, los dientes de soporte, sobre los cuales se fijará la prótesis, se tallan, y luego la estructura protésica se adhiere a ellos utilizando cemento dental.
¿Cuánto dura un puente dental?
Con el tiempo, el tejido óseo puede retraerse y desgastarse, por lo que un puente dental generalmente necesita ser reemplazado después de 8-10 años. En el mejor de los casos, solo el propio puente requiere reemplazo, pero a menudo el dentista también necesita reforzar las coronas de apoyo.








