Tratamiento de la gingivitis
La clínica dental ID Dent en Kiev ofrece un tratamiento integral de la gingivitis, el sangrado y otras enfermedades inflamatorias de las encías. Los procedimientos son completamente indoloros, no causan molestias y los precios son accesibles para todos. Aproveche los servicios de nuestra clínica dental y ahorre hasta un 30% en su presupuesto de tratamiento.
| Periodo de recuperación | alrededor de 2 semanas | 
| Examen y diagnóstico | visual, radiografía | 
| Sintomatología | sangrado, hinchazón | 
| Métodos de tratamiento | limpieza, tratamiento antiséptico | 
| Prevención | higiene, alimentación equilibrada | 

La inflamación de las encías es un problema común al que muchas personas no prestan demasiada atención y no acuden al dentista con rapidez. Cuando no hay dolor dental, uno puede intentar eliminar el proceso inflamatorio por... Lee mas
La inflamación de las encías es un problema común al que muchas personas no prestan demasiada atención y no acuden al dentista con rapidez. Cuando no hay dolor dental, uno puede intentar eliminar el proceso inflamatorio por sí mismo. La gingivitis es una de las causas más frecuentes de la pérdida de dientes sanos. La inflamación de las encías puede reconocerse visualmente, normalmente con solo una revisión del médico, aunque el diagnóstico también es importante.
El tratamiento de la gingivitis comienza principalmente con procedimientos de higiene, como la limpieza dental profesional. El procedimiento incluye la eliminación de depósitos duros y blandos. Para ello, se utilizan a menudo instrumentos manuales, el escáner ultrasónico y el método de limpieza por chorro de polvo.
En nuestra clínica dental ID Dent en Kiev (barrio Lisovyi) puede recibir tratamiento para la gingivitis a un precio asequible. Si nota hinchazón, enrojecimiento o siente dolor en las encías, no lo posponga y pida cita con el médico de nuestra clínica dental.
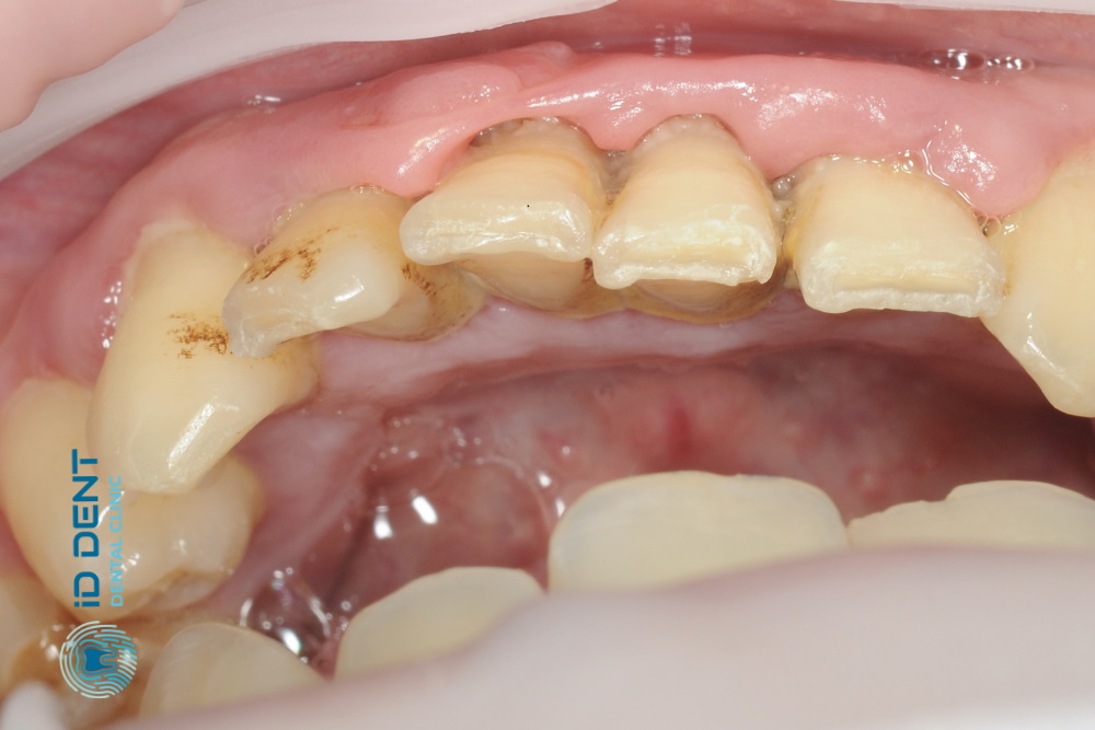
 Antes
 Antes  Después
 Después
La gingivitis es una inflamación inicialmente localizada y posteriormente generalizada de la mucosa del proceso alveolar de las encías. Se caracteriza por la presencia de placa dental blanda (no mineralizada), restos de alimentos y, raramente, cálculo dental. La gravedad del proceso en las encías es directamente proporcional al grado de higiene bucal.
Causas de la aparición de la gingivitis
La gingivitis es la enfermedad de las encías más común. Puede aparecer en pacientes en diferentes etapas de la vida, tanto en adultos como en niños. Diversos factores pueden desencadenar la gingivitis, entre ellos:
- Cuidado inadecuado de los dientes: una higiene dental insuficiente o inadecuada puede provocar la acumulación de bacterias y el desequilibrio de microorganismos en la cavidad bucal, lo que finalmente conduce al desarrollo de gingivitis.
- Hábitos nocivos (tabaquismo): el tabaquismo es una de las principales causas de gingivitis. La nicotina y otras toxinas del humo del tabaco pueden causar inflamación de las encías y empeorar la irrigación sanguínea de la cavidad oral, incluso si te cepillas los dientes regularmente.
- Diabetes: es una enfermedad crónica que puede causar diversos problemas de salud, incluida la gingivitis. Las personas con diabetes tienen un nivel de azúcar elevado en sangre, lo que puede favorecer el desarrollo de infecciones y empeorar el estado de los tejidos blandos de la boca.
- Algunos medicamentos: los antidepresivos, inmunosupresores y medicamentos antitumorales pueden tener un efecto negativo en la salud de las encías.
Un factor de riesgo para la aparición de gingivitis es el embarazo. Los cambios hormonales durante la gestación pueden afectar el estado de las encías. Por eso, las mujeres embarazadas deben acudir al dentista regularmente: el médico les ayudará a recibir la prevención necesaria.
Otras causas que pueden provocar inflamación de las encías son el estrés frecuente y la alimentación inadecuada. El consumo de azúcar, bebidas ácidas y alimentos grasos puede favorecer la acumulación de bacterias en la cavidad oral y el daño en las encías. Además, en periodos de estrés, los niveles hormonales del organismo pueden alterarse, lo que también desencadena trastornos en la salud de los tejidos blandos bucales.
¿Cómo saber si tienes gingivitis?

La gingivitis es una enfermedad de las encías que puede caracterizarse por diversos síntomas. Sin embargo, no todos ellos pueden ser evidentes, lo que hace que el diagnóstico de la gingivitis sea bastante complicado. Las señales de alarma más habituales son:
- Sangrado de encías: una de las principales señales. Al cepillarse los dientes o masticar se puede observar sangre en el cepillo o en la boca. Además, las encías pueden doler al tocarlas y reaccionar con sensibilidad a alimentos calientes o fríos.
- Hinchazón de las encías: los tejidos blandos parecen aumentados de tamaño.
- Mal aliento: las bacterias que provocan la gingivitis también causan mal olor.
- Cambio de color de las encías: durante la enfermedad, los tejidos blandos de la cavidad bucal pueden adquirir un color rojizo o violáceo, lo que suele estar relacionado con la inflamación y los trastornos circulatorios.
- Aparición de mellas en los dientes: está relacionado con la acumulación de bacterias.
Si detectas al menos uno de estos síntomas, se recomienda acudir al dentista para un diagnóstico y un plan de tratamiento. La detección temprana de la gingivitis puede ayudar a prevenir el desarrollo de afecciones más graves de la cavidad oral, como la periodontosis.
Métodos de diagnóstico de la enfermedad
Para un tratamiento eficaz de la gingivitis, el dentista siempre lleva a cabo un diagnóstico integral de la cavidad bucal, que incluye:
- Revisión visual: el dentista examina las encías, los dientes y la lengua para detectar signos de inflamación, sangrado u otros síntomas. También se evalúa el grado de gravedad de la enfermedad.
- Medición de la profundidad de las bolsas periodontales: una profundidad de entre 1 y 3 mm es normal, mientras que en la gingivitis suele aumentar significativamente.
- Examen radiográfico: las radiografías de los dientes ayudan a evaluar el grado de afectación de los dientes y encías, así como a detectar otros problemas de salud bucal que puedan agravar la gingivitis.

Adicionalmente, se puede realizar un análisis de la flora bacteriana de la cavidad bucal. Es necesario para determinar los tipos de bacterias que causan la gingivitis.
Formas
Se distinguen dos formas principales de gingivitis:
- crónica;
- aguda.
La gingivitis aguda se caracteriza por la fuerte manifestación de los síntomas y suele acompañarse de dolor intenso, lo que facilita su diagnóstico. La forma crónica, por su parte, se caracteriza por la ausencia casi total de dolor y una escasa expresión de los síntomas.
Es importante recordar que tanto la gingivitis aguda como la crónica son enfermedades graves que requieren un tratamiento competente y oportuno.
Tipos de gingivitis
Dependiendo de las causas y la sintomatología, se distinguen los siguientes tipos de gingivitis:

- Cataral: es la forma más común de gingivitis. Se caracteriza por una inflamación superficial de las encías, que puede manifestarse como sangrado, enrojecimiento y ligera hinchazón. No causa mucho dolor y, por lo general, se trata con bastante facilidad.
- Granulomatoso: se caracteriza por la formación de granulomas en las encías. Puede causar dolor y tumefacción de las encías.
- Necrosante: es la forma más grave de gingivitis. Se caracteriza por la necrosis de las encías, lo que puede dar lugar a úlceras y heridas profundas. Causa dolor intenso, sangrado y mal aliento.
- Aftoso: se acompaña de la aparición de úlceras dolorosas en las encías, que pueden ser causadas por algunos tipos de bacterias o virus. La gingivitis aftosa puede causar dolor intenso y dificultad para comer.
- Hiperplásico: se acompaña de un aumento drástico del volumen de las encías, lo que puede llevar a una alteración en la oclusión dental. Esta forma de gingivitis suele estar asociada con trastornos metabólicos o el uso de ciertos medicamentos.
Cada forma de gingivitis requiere un enfoque individual en el tratamiento. Por ello, nunca retrases la visita al médico.
Métodos de tratamiento de la gingivitis
La inflamación de las encías, independientemente del tipo y la forma, puede causar graves problemas de salud oral. Por eso, es muy importante acudir al dentista ante los primeros signos de la enfermedad.
El tratamiento de la gingivitis depende de su forma y gravedad. Se pueden utilizar los siguientes métodos:

- La eliminación de la placa dental es uno de los métodos principales para el tratamiento de la gingivitis, ya que los depósitos en los dientes pueden provocar inflamación de las encías.
- Uso de medicamentos antisépticos para eliminar las bacterias en la cavidad oral. Entre estos productos se incluyen la clorhexidina, la miramistina, el peróxido de hidrógeno y otros.
- Uso de medicamentos antiinflamatorios. Estos fármacos ayudan a reducir la inflamación de las encías y a disminuir el dolor.
- Uso de antibióticos: en casos graves de gingivitis o cuando se combina con una infección bacteriana, puede ser necesario el uso de antibióticos. Los medicamentos antibacterianos ayudan a prevenir el desarrollo de complicaciones.
- Tratamiento quirúrgico: en algunas formas de gingivitis puede ser necesario recurrir a la cirugía, como la eliminación de granulomas o tejido necrótico, o la corrección de la línea de las encías.
El tratamiento de la gingivitis debe ser integral y adaptarse al grado de gravedad de la enfermedad. La detección temprana de la gingivitis y la realización de una terapia integral ayudan a evitar problemas más graves relacionados con la salud bucal.
¿Qué hacer para evitar la gingivitis?
Veamos los principales métodos de prevención de la gingivitis:

- El cepillado regular de los dientes, dos veces al día. El cuidado minucioso de la cavidad oral es el principal método de prevención de la gingivitis. Cepillarse los dientes ayuda a eliminar la placa bacteriana que puede provocar el desarrollo de la enfermedad.
- El uso de hilo dental ayuda a eliminar la placa bacteriana de los espacios interdentales a los que no llega el cepillo. Se recomienda usar hilo dental al menos una vez al día, preferentemente antes de dormir.
- Visitas regulares al dentista: una vez cada 6 meses. Las visitas a tiempo al dentista pueden ayudar a detectar los primeros signos de gingivitis y detener el avance de la enfermedad. Además, el médico realizará una higiene profesional, que es clave para la salud dental.
- Alimentación equilibrada: una dieta adecuada ayuda a fortalecer la salud de las encías y es, en general, beneficiosa para el organismo. Se recomienda consumir más verduras y frutas frescas, y reducir el consumo de dulces y alcohol.
- Evitar el tabaquismo: fumar puede favorecer el desarrollo de la gingivitis, ya que la nicotina estrecha los vasos sanguíneos, dificultando la circulación sanguínea hacia las encías. Reducir el consumo de tabaco ayuda a mantener las encías sanas y a prevenir el avance de la enfermedad.
- Siguiendo estas sencillas reglas, se puede disminuir significativamente el riesgo de desarrollar la enfermedad.
Particularidades de la enfermedad en niños
La gingivitis dental en niños es bastante común, ya que el organismo infantil es más vulnerable a las enfermedades. La causa principal suele ser una higiene dental deficiente: el niño puede simplemente no saber cómo cepillarse bien los dientes. Por eso, aquí es fundamental la supervisión de los padres: enseñe al niño a cuidar correctamente su boca y muéstrele la importancia del cepillado con su propio ejemplo.
Costo del tratamiento de la gingivitis en Kiev por ID DENT

El precio del tratamiento de la gingivitis puede variar considerablemente dependiendo de diversos factores. En nuestra clínica dental ID Dent nos aseguramos de que cada paciente pueda recibir un tratamiento de alta calidad a un precio razonable. El costo de la terapia depende de la forma y el tipo de gingivitis, así como de las características clínicas de cada paciente. El precio aproximado está indicado en nuestro sitio web. Para obtener información más precisa sobre el costo del tratamiento de la gingivitis y la consulta de nuestros médicos, debe ponerse en contacto con nosotros.
¿Tienes problemas con tus encías? Nos complace invitarte a nuestra clínica dental ID Dent. Contamos con médicos experimentados que utilizan equipos modernos para el diagnóstico y tratamiento de los pacientes. Garantizamos una terapia de alta calidad y un enfoque individual para cada paciente.
El centro médico ID Dent está ubicado en la orilla izquierda del Dniéper, en el barrio Lisovyi. Es muy fácil llegar, ya que cerca se encuentran las estaciones de metro Lisova y Chernihivska.
No postergues el cuidado de tus dientes y encías; contáctanos para recibir una consulta y tratamiento de calidad. ¡Te esperamos para el tratamiento de la gingivitis en Kiev!
Lista de la bibliografía utilizada:
- Yanushevich O.O. Enfermedades periodontales. Tratamiento. Medicina práctica. – 2014. – 180 p.
- Giano Ricci. Diagnóstico y tratamiento de las enfermedades periodontales. Azbuka – 2015.- 739 p.
- Grudianov A.I. Enfermedades periodontales. Agencia de Información Médica. – 2009. – 336 p.
Preguntas frecuentes
¿Por qué es peligrosa la gingivitis?
Si no se trata la gingivitis, puede evolucionar hacia periodontitis, una condición en la que se dañan no solo las encías, sino también el tejido óseo. Es una enfermedad muy peligrosa que en estado avanzado no responde al tratamiento y puede provocar la pérdida de los dientes. La dificultad radica en que, en sus primeras etapas, la gingivitis puede ser asintomática.
¿Cuánto tiempo se tarda en tratar la gingivitis?
La mejoría se nota a los pocos días de comenzar el tratamiento adecuado, y el curso completo de la terapia dura aproximadamente dos semanas. El tratamiento se realiza de forma ambulatoria, es decir, usted permanece en casa y solo acude al dentista para el control y ajuste del plan terapéutico.
¿Se puede curar la gingivitis?
Sí, pero solo si el tratamiento se realiza bajo la supervisión de un odontólogo. El autotratamiento solo puede aliviar parcialmente los síntomas, pero también puede ocurrir lo contrario: la enfermedad puede evolucionar y convertirse en una forma ulcerosa o necrótica. Sin embargo, incluso la gingivitis avanzada puede tratarse completamente tras los procedimientos odontológicos apropiados.
¿Cuánto cuesta el tratamiento de la gingivitis?
El costo del tratamiento de la gingivitis depende del grado de gravedad de la enfermedad y de los métodos de tratamiento utilizados en cada caso concreto. Es necesario acudir al dentista para obtener una consulta individual y determinar el coste del tratamiento.
¿Qué provoca la aparición de la gingivitis?
La gingivitis surge como resultado de una higiene bucal insuficiente, infección bacteriana y otros factores, como el tabaquismo, el estrés, una mala alimentación y problemas de salud asociados. Independientemente de la causa de la enfermedad, es muy importante acudir al médico a tiempo.
¿Cuánto tiempo se tarda en curar la gingivitis?
El tiempo de tratamiento de la gingivitis depende de su gravedad y de los métodos terapéuticos empleados. Normalmente, este proceso dura varios días o semanas, pero en casos graves puede prolongarse durante varios meses.
¿Se puede curar completamente la gingivitis?
Sí, la gingivitis puede curarse completamente con un tratamiento adecuado y un cuidado regular de la cavidad oral. Por eso, ante los primeros síntomas, acuda de inmediato a un profesional.
¿Cómo se debe tratar correctamente la gingivitis?
El tratamiento de la gingivitis debe incluir una higiene bucal regular, el uso de medicamentos antisépticos y antiinflamatorios, así como la limpieza profesional de los dientes y la eliminación de la placa dental. En casos graves, puede ser necesario el uso de antibióticos.
¿Se puede curar la gingivitis por cuenta propia?
Para tratar la gingivitis es necesario acudir al dentista, quien elegirá el método adecuado y dará recomendaciones sobre el cuidado bucal. El tratamiento por cuenta propia puede ser ineficaz y causar un empeoramiento de la enfermedad. Además, está prohibido utilizar remedios caseros
¿Qué alimentos no se deben consumir en caso de gingivitis?
En caso de gingivitis, es necesario evitar el consumo de alimentos dulces, ácidos, grasos y picantes que puedan irritar las encías. También se debe evitar fumar y consumir alcohol.





