Tratamiento de las encías
La clave para resolver con éxito los problemas de las encías es un enfoque inteligente hacia la prevención y el tratamiento oportuno, algo que los médicos de la clínica dental ID Dent en Kiev garantizan plenamente. En nuestra clínica, el tratamiento de las encías se realiza de manera absolutamente indolora y a precios accesibles. Confíe la salud de sus encías y dientes a profesionales: reserve su cita con nosotros ahora mismo.
| Duración de la curación | hasta 2 semanas | 
| Período de tratamiento | Depende de la enfermedad | 
| Número de visitas | Individual | 
| Limpieza profesional de los dientes | Cada 6 meses | 
| Dolor después del procedimiento | Ausente (anestesia) | 
| Cuidado después del tratamiento | cepillado dos veces al día, enjuague bucal | 

Uno de cada cinco pacientes que acuden a la clínica dental presenta enfermedades de los tejidos gingivales. Como resultado, la mayoría de los pacientes son diagnosticados con gingivitis o periodontitis, afecciones que solo puede tratar un periodoncista... Lee mas
Uno de cada cinco pacientes que acuden a la clínica dental presenta enfermedades de los tejidos gingivales. Como resultado, la mayoría de los pacientes son diagnosticados con gingivitis o periodontitis, afecciones que solo puede tratar un periodoncista cualificado. Si notas sangrado de encías durante la higiene dental en casa, movilidad dental o inflamación de las encías, acude inmediatamente al dentista.
En nuestra clínica ID Dent en el distrito de Lisovyi en Kiev, practicamos el tratamiento de las encías utilizando equipos láser. Este procedimiento tiene muchas ventajas: no requiere contacto directo con la zona afectada, tiene un efecto regenerador, no causa molestias y prácticamente no tiene contraindicaciones. El tratamiento de encías con láser puede realizarse en una o varias visitas.
Cuidamos de nuestros pacientes, por eso ofrecemos precios accesibles y totalmente justificados para el tratamiento de las encías. El coste del procedimiento depende del grado de la enfermedad y de la necesidad de utilizar tecnologías, medicamentos y equipos especiales.
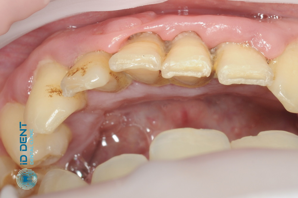
 Antes
 Antes  Después
 Después
Uno de cada cinco pacientes de la clínica dental sufre enfermedades de las encías. Al mismo tiempo, la enfermedad puede desarrollarse casi de forma imperceptible: con un leve sangrado durante el cepillado, hinchazón de los tejidos de las encías y sensaciones de incomodidad. Ignorar estos síntomas está absolutamente prohibido. Los odontólogos de la clínica ID Dent le ayudarán a solucionar el problema existente. ¡Le garantizamos un tratamiento rápido, eficaz, cómodo y asequible!
Síntomas de enfermedades de las encías

La enfermedad puede desarrollarse gradualmente y progresar casi de forma imperceptible. Por eso, se debe acudir al dentista si se presentan los siguientes síntomas:
- enrojecimiento e hinchazón de las encías;
- sangrado de las encías;
- placa blanca en las encías;
- manchas oscuras en el esmalte;
- mayor sensibilidad dental al frío/calor;
- mal aliento;
- movilidad dental;
- aumento de los espacios entre los dientes.
Recuerde: cuanto antes acuda al médico, más exitoso será el tratamiento de las encías. No permita que la enfermedad se convierta en crónica.
¿Qué tipos de enfermedades de las encías existen?
Las enfermedades de las encías más comunes son:
- Gingivitis: inflamación de las encías alrededor de uno o varios dientes. Puede ser crónica o aguda. Es importante un tratamiento oportuno: si progresa, la gingivitis puede convertirse en periodontitis.
- Periodontitis: en esta enfermedad, el tejido de las encías se va separando gradualmente del diente, formando bolsas periodontales. En estas bolsas se acumulan restos de alimentos. Sin tratamiento adecuado, los dientes pueden desplazarse, volverse móviles e incluso caerse.
- Periodontosis: enfermedad que se acompaña de trastornos de la irrigación sanguínea y distrofia del periodonto. Gradualmente provoca distrofia de las encías, exposición de las raíces y aflojamiento de los dientes, aumentando la distancia entre ellos y su eventual pérdida.
Causas de las enfermedades de las encías
Las enfermedades inflamatorias de las encías (gingivitis, periodontitis) se producen, principalmente, por la falta de higiene oral.
Los restos de alimentos se acumulan entre los dientes y en las encías. Con el tiempo, se convierten en placa blanca y depósitos amarillo-marrones que no pueden eliminarse por sí solos. Todo esto crea un ambiente favorable para el crecimiento de bacterias y el desarrollo de infecciones.
Además, las lesiones, como rasguños provocados durante la alimentación, la higiene oral o el uso de prótesis, también pueden causar inflamación. Los desequilibrios hormonales y la avitaminosis también pueden aumentar el riesgo de gingivitis y periodontitis. Esto incluye las condiciones que se observan en adolescentes y mujeres embarazadas.
Analicemos las causas del desarrollo de la periodontosis. Se trata de una enfermedad degenerativa y distrófica que se desarrolla como consecuencia de un suministro insuficiente de sangre a las encías. El riesgo de desarrollar periodontosis es mayor en pacientes con enfermedades crónicas del tracto gastrointestinal, vasculares y cardíacas, así como en quienes padecen diabetes.
Las causas de la inflamación de las encías pueden ser tanto alteraciones generales en el organismo (alergias, enfermedades de la sangre y del sistema cardiovascular, toxicosis durante el embarazo, etc.) como una limpieza dental deficiente, sarro, deformaciones dentales y maxilares.
¿Cómo se realiza el tratamiento de las enfermedades de las encías?
La elección del método de tratamiento de las encías depende de:
- las características de la enfermedad;
- la etapa de la enfermedad;
- el estado general del organismo;
- la presencia o ausencia de contraindicaciones.
Gingivitis
La gingivitis es la primera etapa de la inflamación de las encías. Se acompaña de picazón, hinchazón y sangrado de los tejidos gingivales. El tratamiento generalmente se realiza con la terapia Vector. Sin embargo, la elección del método de tratamiento depende de la etapa de la enfermedad.
Periodontitis


Un control oportuno con el dentista y una higiene profesional cada 6 meses es la clave para la salud de tus encías.
Precio del tratamiento de enfermedades de las encías en Kiev
El coste del tratamiento de las encías depende del tarifario individual de la clínica dental a la que acudas, del método de tratamiento elegido y de la complejidad del caso clínico. Puedes consultar los precios del tratamiento de las encías en ID Dent en esta página de nuestro sitio web, arriba. Recordamos la posibilidad de tratamiento a plazos y pago en cuotas. También puedes consultar adicionalmente con los administradores del centro médico. Llámanos o deja una solicitud para que te llamemos de vuelta.
Ventajas del tratamiento de encías en la clínica ID DENT
Los dentistas experimentados de nuestro centro médico garantizan un tratamiento de las enfermedades de las encías de calidad, rápido y sin dolor.

Siempre realizamos un diagnóstico minucioso, seleccionamos la estrategia de terapia óptima y acompañamos al paciente en todas las etapas: desde el tratamiento hasta la rehabilitación. En nuestra clínica:
Preguntas frecuentes
¿Cómo se realiza el tratamiento de las encías?
Primero, el odontólogo realiza un conjunto de medidas diagnósticas, identifica el problema, su causa y prescribe un plan de tratamiento. Luego, todo depende de los métodos de tratamiento elegidos: pueden ser terapéuticos (con medicamentos, antibióticos), quirúrgicos o periodontales.
¿Qué tan rápido se cura la inflamación de las encías?
Todo depende de la causa de la inflamación, de las características individuales del organismo y de otros factores. Sin embargo, la curación no es un proceso rápido; las encías llegan a su estado normal solo después de 3-4 semanas desde el inicio del tratamiento. Sin embargo, el dolor y las molestias desaparecen más rápido.
¿Con qué se puede enjuagar la boca para reducir la inflamación de las encías?
El odontólogo selecciona soluciones farmacéuticas especiales en función de la enfermedad, el estadio de su desarrollo y las características individuales del organismo. No se recomienda enjuagar la boca con remedios caseros, ya que esto puede empeorar la situación.
¿Cuánto cuesta el tratamiento de las encías?
El costo del tratamiento de las encías depende de las características de la enfermedad y del cuadro clínico. Los métodos de terapia se seleccionan de forma individual. Puedes consultar los precios aproximados del tratamiento en la clínica ID Dent en esta página de nuestro sitio web más arriba.
¿Duele tratar las encías?
Todos los procedimientos se realizan bajo anestesia local, por lo que el paciente no siente dolor ni molestias. En caso de que las encías duelan después del tratamiento, el dentista prescribe analgésicos y medicamentos antiinflamatorios.
¿Cómo eliminar una infección de las encías?
Si tienes síntomas de enfermedades en los tejidos de las encías, no te automediques. Acude a una consulta con el odontólogo. El especialista realizará un diagnóstico y seleccionará los métodos de tratamiento más adecuados.
¿Cómo aliviar rápidamente la inflamación de las encías?
Para aliviar rápidamente la inflamación, se utilizan soluciones antisépticas. Sin embargo, recomendamos usar estos productos solo después de consultar con el periodoncista.




