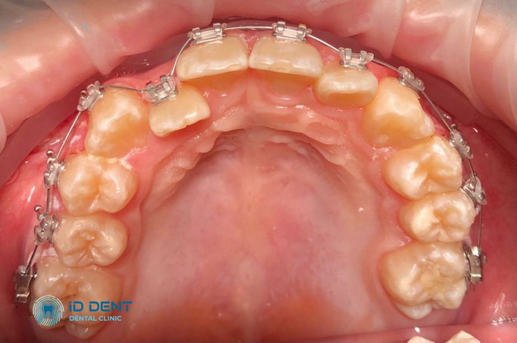
Brackets metálicos
¿Sueña con una sonrisa hermosa y alineada? Dé el primer paso hacia una nueva imagen: visite nuestra clínica dental ID Dent, y le colocaremos brackets metálicos a un precio atractivo. Nos encargamos de corregir cualquier anomalía y garantizamos excelentes resultados.
| Duración del tratamiento | Mínima para casos complejos | 
| Tiempo de instalación | 40-45 minutos | 
| Frecuencia de corrección | Una vez al mes | 
| Restricciones de edad | Ninguna | 
| Cuidado de los brackets | Limpieza meticulosa después de las comidas | 

Una estructura probada a lo largo del tiempo con un plazo mínimo de tratamiento para las deformaciones más severas y diversos problemas de mordida son los brackets metálicos. La instalación de brackets metálicos no lleva mucho tiempo,... Lee mas
Una estructura probada a lo largo del tiempo con un plazo mínimo de tratamiento para las deformaciones más severas y diversos problemas de mordida son los brackets metálicos. La instalación de brackets metálicos no lleva mucho tiempo, generalmente el procedimiento dura alrededor de 30-40 minutos. El proceso es completamente indoloro y se recomienda hacer correcciones una vez al mes, no menos.
Recomendamos colocar brackets metálicos en casos de anomalías de dientes individuales o del arco dental durante la formación de la mordida, en el desplazamiento corporal de los dientes o antes de la prótesis. En ortodoncia se utilizan estructuras vestibulares, que se fijan en el exterior de los dientes, y brackets linguales, que se colocan en el interior.
En la clínica dental ID Dent en Kiev (Lisovyi Masyv), los médicos realizarán un diagnóstico y colocarán cuidadosamente los brackets metálicos a un precio accesible. El costo de los sistemas de brackets metálicos será más económico que, por ejemplo, las estructuras de cerámica.
 Antes
 Antes  Después
 Después

Preguntas frecuentes
¿Para qué se colocan los brackets metálicos?
La función principal de los brackets metálicos es alinear los dientes y corregir la mordida incorrecta. Esto es necesario tanto desde el punto de vista estético como desde un enfoque práctico: corregir los defectos de mordida mejora la función de masticación.
¿Cómo alinean los dientes los brackets metálicos?
Los brackets metálicos ejercen una presión fuerte y constante sobre la raíz del diente y los ligamentos que lo sostienen. Gradualmente, estos se estiran, permitiendo que el diente se desplace lentamente a una nueva posición determinada por el dentista.
¿Cómo cuidar los brackets metálicos?
Los brackets metálicos requieren un cuidado meticuloso. Después de comer, es necesario limpiar los restos de comida utilizando un cepillo de dientes especial. Dos veces al día, se debe realizar una limpieza exhaustiva de toda la superficie del aparato. También se recomienda evitar el consumo de alimentos duros o pegajosos que puedan dañar el sistema de brackets.






