Restauración dental estética
Los dentistas de nuestra clínica ID Dent en Kiev pueden devolver a su estado normal y restaurar por completo incluso los dientes gravemente dañados. Ofrecemos el servicio de restauración dental estética utilizando materiales de relleno de alta calidad o microprótesis. La atención cuidadosa a los pacientes y el trabajo preciso de nuestros médicos te brindarán nuevos dientes y una sonrisa radiante a un precio accesible.
| Duración | 2-5 o 5-7 años | 
| Período de tratamiento | Pueden ser necesarias varias visitas | 
| Número de visitas | Varía según el método | 
| Método de restauración | Métodos directos e indirectos | 

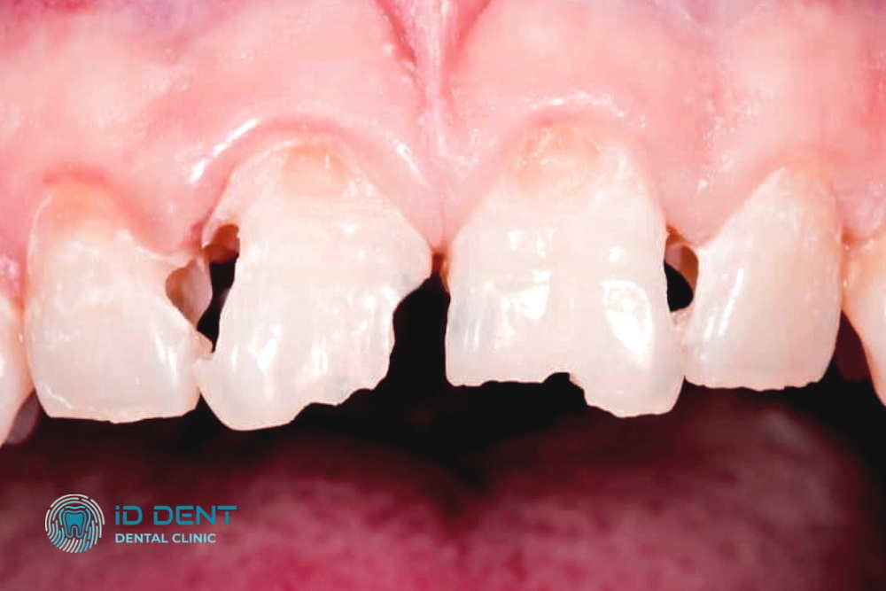
La restauración dental estética está dirigida a restaurar la función masticatoria del arco dental, devolviendo a los dientes el estado y la apariencia que tenían y deberían tener. Los dientes frontales en mal estado pueden causar especial... Lee mas
La restauración dental estética está dirigida a restaurar la función masticatoria del arco dental, devolviendo a los dientes el estado y la apariencia que tenían y deberían tener. Los dientes frontales en mal estado pueden causar especial incomodidad, ya que son los que más frecuentemente se dañan y son la base de la sonrisa. Además, es posible devolver el color y el brillo, y eliminar los espacios entre los dientes.
Las indicaciones para la restauración dental estética pueden incluir destrucción severa de la corona, esmalte desgastado, grietas, y varios defectos (como dientes torcidos o un espacio interdental amplio). Durante el procedimiento se pueden emplear materiales compuestos, coronas, carillas y lumineers.
Si estás buscando dónde realizar una restauración dental estética en Kiev, programa una cita en la clínica dental ID Dent en el distrito de Lisovyi. El médico examinará el estado de tu cavidad oral y elegirá el método óptimo, del cual dependerá el costo. Los lumineers tienen el precio más alto, mientras que la restauración compuesta directa es un procedimiento más económico.
 Antes
 Antes  Después
 Después 
Preguntas frecuentes
¿Qué significa la restauración dental estética?
La restauración dental estética se refiere a la recuperación de la apariencia natural, color y forma de los dientes dañados. Para ello, se utilizan diversos materiales sintéticos que visualmente no se distinguen del color natural de tus dientes.
¿En qué casos se recomienda la restauración dental estética?
La restauración dental estética se lleva a cabo para restaurar la apariencia y estética del arco dental. Se recurre a ella cuando hay grietas o astillas en los dientes, el esmalte está dañado por caries o ha cambiado de color natural, y hay un desgaste dental excesivo. Además, mediante los métodos de restauración es posible corregir una ligera curvatura y ocultar los espacios interdentales.
¿Cuánto dura la restauración dental estética?
El período garantizado de duración, siempre que se sigan las recomendaciones del dentista, es de 2-5 o 5-7 años (dependiendo del tipo de restauración elegida), aunque en muchos pacientes duran más, hasta 10 años. Esto es el doble de tiempo en comparación con las placas plásticas removibles.








