Специализация
Примеры работ врача
Сертификаты
Курсы
2021г.
"Пародонтология Smart Concept ( основы гигиены и SRP)".
2021г.
"Неотложные состояния в практике врача стоматолога".
2023г.
"Искусство реставрации фронтальных и боковых зубов".
2023г.
"Просто о сложном удалении ретинированных и дистопированных 8-х зубов".
2023г.
"Все о лечении пародонтита".
2024г.
"Все о гигиене полости рта".
2024г.
"Основы ручного скейлинга".
Отзывы
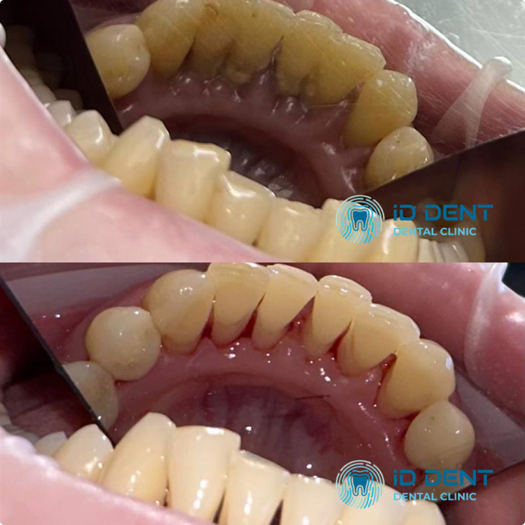
Комплексная чистка зубов
Прекрасный врач.
Четко знает, что делает и все объясняет.
Чистку сделала идеально. С воспалением десен тоже круто помогла, выписала лечение и следила за течением все время лечения.
Обратился ли бы еще — да.
Посоветовал бы близким и знакомым – да.
Спасибо:)
Очень хороший врач. Профессионал своего дела! Всем рекомендую!



