
Серховець Аліна Сергіївна
Лікар-стоматолог загального профілю; стоматолог-гігієніст; пародонтолог
ОСВІТА
2021 р. – закінчила Національний медичний університет імені О.О. Богомольця.
Спеціалізація
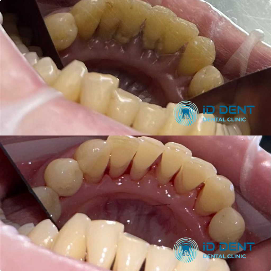
Приклади робіт лікаря
Сертифікати
Курси
2021р.
"Пародонтологія Smart Concept( основи гігієни та SRP)".
2021р.
"Невідкладні стани в практиці лікаря стоматолога".
2023р.
"Мистецтво реставрації фронтальних та бокових зубів".
2023р.
"Просто про складне , видалення ретинованих та дистопованих 8-х зубів".
2023р.
"Все про лікування пародонтиту".
2024р.
"Все про гігієну порожнини рота".
2024р.
"Основи ручного скейлінгу".
Відгуки
Аліна Сергіївна – прискіплива та уважна стоматологиня! Зробила дуже якісну чистку, що не можу намилуватися ☺️
Вже вдруге робив гігієнічну чистку зубів у Аліни Сергіївни. Записався вдруге саме до неї і знову був дуже задоволений результатом. Професіаналізм і уважність до пацієнта – це кредо Аліни Сергіївни. З такими лікарями можна не боятись ходити до стоматолога. Рекомендую 100%.
Дуже хороший лікар.Професіонал своєї справи!Всім рекомендую!
Комплексна чистка зубів
Чудовий лікар. Чітко знає, що робить і все пояснює. Чистку зробила ідеально. З запаленням ясен теж круто допомогла, виписала лікування і слідкувала за перебігом весь час лікування. Чи звернувся би ще – так. Чи порадив би близьким та знайомим – так. Дякую:)
Дуже хороший лікар.Професіонал своєї справи!Всім рекомендую!



