Dzhus Tetyana Mykhailivna
Dentista pediátrico
EDUCACIÓN
2009 – se graduó de la facultad de odontología de la Universidad Nacional de Medicina de Vinnitsa, en honor a M.I. Pirogov.
2009 – 2011 – completó su residencia en la especialidad de “odontología” en la misma universidad.
2011 – obtuvo la especialización en odontología pediátrica en la Universidad Nacional de Medicina de Lviv, en honor a Danylo Halytsky.
2016 – confirmó la especialización en “odontología pediátrica” en la Academia Nacional de Educación Médica de Posgrado, en honor a P. L. Shupik.
2021 – recibió la categoría de máxima calificación en la especialidad de odontología pediátrica.
Especialización
video con medico
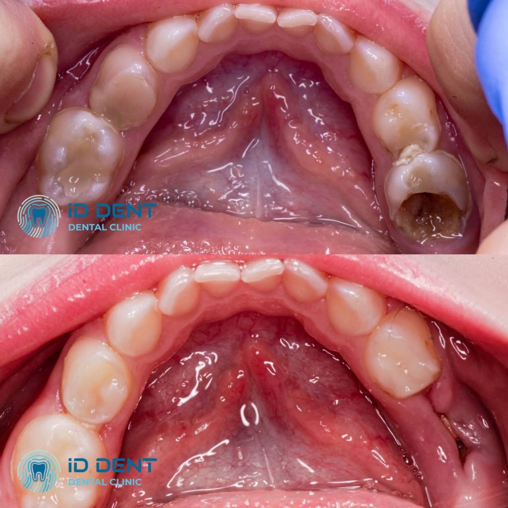
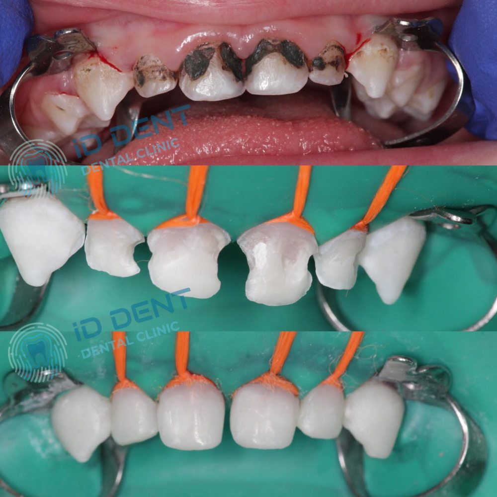
Ejemplos de trabajo del médico.
Certificados
Cursos
2012
"Métodos modernos de tratamiento de la caries dental en niños"
2013
"Tratamiento de la caries complicada en dientes temporales formados y no formados"
2013
"El dolor agudo en la consulta odontopediátrica"
2018
"La concepción moderna del tratamiento en odontología pediátrica"
2019
"Protocolos modernos de higiene bucal profesional en niños y adultos"
2019
"Tratamiento endodóntico de dientes temporales y permanentes con formación radicular incompleta"
2019
"Coronas estándar en odontología pediátrica"
2020
Participación en el simposio de dentistas de Ucrania.
2021
"Tratamiento de la pulpitis y periodontitis en dientes de leche en niños"
2021
"Sobre los conductos infantiles para dentistas adultos"
2021
programa de autor "Zen en la infancia con Boichuk"
2022
"Caries, pulpitis, periodontitis de los dientes de leche"
2023
"Restauración de tejidos duros de los dientes en niños con coronas estéticas estándar"
2023
Conferencia de odontología pediátrica "Dental Kids 3.0"
2023
"Todo sobre las enfermedades de la mucosa oral en niños"
2023
"Tratamiento de lesiones del esmalte en niños"
2023
"Prevención de lesiones cariosas en niños"
2023
"Restauración de dientes de leche"
2024
"Prevención y resolución de conflictos con el paciente"
2024
"Tratamiento dental de niños bajo anestesia: protocolos, seguridad, problemas actuales"
Reseñas




